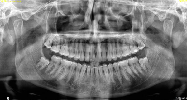
Panorámico, cefalometrico y CBCT 3D
(FOV 4×4, 5×5, 8×5, 8×9 cm)
·Generador de rayos x de alta frecuencia.
· Realiza placas panorámicas y volúmenes 3D
· 4 tamaños FOV de volumen hasta 8×9 cm. (sin stitching).
· Interfaz de usuario intuitivo y claro.
·Sistema de movimiento con motor de inducción silencioso y sin vibraciones.
· Columna motorizada .
· El algoritmo reduce al mínimo la sombra de la columna vertebral.
· Mayos amplitud del campo focal en la región anterior, eliminando la luz laser del canino.
· El amplio canal focal compensa la alineación incorrecta del paciente .
· Posicionamiento “Cara a Cara ” más cómodo .
· Cuerpo robusto y fabricado totalmente en aluminio.
·Soporte del paciente transparente.
3D
•Cuatro campos seleccionables de vista:
· Pediátrico de 4 x 4 cm, per implantes unitarios 5 x 5 cm, implantología 8 x 5 cm i 8 x 9 cm.
•Resolución de hasta 75 micras, perfecto para las necesidades en endodóncia.
•Compatible para CAD CAM.
•Archivo DICOM.
•Compatible con diferentes sistemas de cirugía guiada (Nobel, Simplant i SureSmile)
Panorámica














